Coapa
Plaza Market Place Local 13, Prol. División del Nte. 4541 Col. Ejidos de Huipulco, Alc. Tlalpan, CDMX
HORARIOS
- Lunes a Viernes
09:00 a 7:30 pm
- Sábado
09:00 a 1:30 pm
- Teléfonos
55 5594 8890
- WhatsApp
55 1304 4571

Es una categoría de servicios que utilizamos para obtener imágenes detalladas de tus dientes, mandíbula y estructuras dentales. Utilizamos equipos de vanguardia para garantizar la precisión y la seguridad durante el procedimiento.

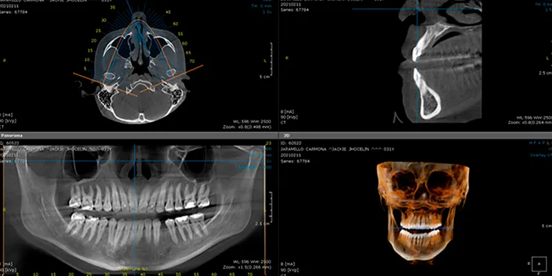
Es una técnica avanzada que nos permite obtener imágenes tridimensionales detalladas de tus dientes, huesos y tejidos faciales. Esta tecnología nos proporciona una visión más completa y precisa de su estructura dental y es especialmente útil en la planificación de implantes dentales, cirugía ortognática y otros procedimientos complejos.

Nuestro Estudio Ortodóntico Completo es un proceso detallado que nos permite evaluar y detectar la alineación de tus dientes y mandíbula. Mediante el uso de radiografías, modelos de estudio y fotografías.

Utiliza tecnología digital para crear imágenes tridimensionales de tus dientes y encías. Este método reemplaza los incómodos moldes de yeso tradicionales y permite un diagnóstico más preciso y un plan de tratamiento más eficiente, gracias a la tecnología invisalign. El escaneo intraoral se utiliza en el diseño y fabricación de aparatos ortodónticos, prótesis dentales, carillas y otros tratamientos personalizados.

Además de nuestros servicios principales, también ofrecemos una variedad de otros estudios dentales para abordar sus necesidades específicas. Estos pueden incluir Estudio Orthokinético, Modelos de Estudio en Yeso, Guías Quirúrgicas, Análisis Cefalométrico y otros estudios especializados según sea necesario.
*Es importante tener en cuenta que solo ofrecemos el estudio en sí mismo. El diagnóstico y la interpretación de los resultados deben ser proporcionados por tu médico.
Plaza Market Place Local 13, Prol. División del Nte. 4541 Col. Ejidos de Huipulco, Alc. Tlalpan, CDMX
09:00 a 7:30 pm
09:00 a 1:30 pm
55 5594 8890
55 1304 4571
Plaza Cantil Local 21, Avenida Aztecas 270 Col. Los Reyes, Alc. Coyoacán, CDMX
09:00 a 7:30 pm
09:00 a 1:30 pm
55 6285 9968
55 4031 7133
Avenida Tláhuac 3636, Local 302, Col. Pueblo de Culhuacán, Alc. Iztapalapa, CDMX
09:00 a 7:30 pm
09:00 a 1:30 pm
55 2589 8109 / 55 2063 8314
55 6498 7180
Carretera Picacho Ajusco 160, Plaza Sur, Local 9, Col. Jardines de la Montaña, Alc. Tlalpan, CDMX
09:00 a 7:30 pm
09:00 a 1:30 pm
55 1559 9416 / 55 563 5907
55 2268 1077